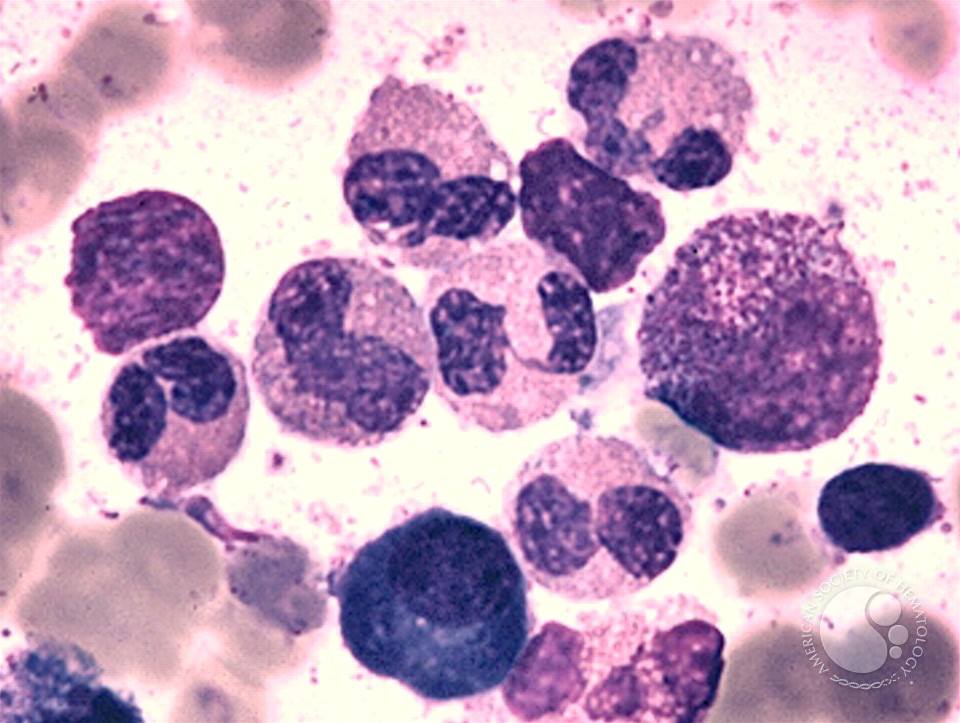
Pseudo Pelger-Huët – Case of myelodysplastic syndrome


Medical Laboratory Doctor

Share This Post

Recent Articles

Leave a Reply

You must be Logged in to post comment.

© 2026 Medical Laboratories. All rights reserved. Site Admin · Entries RSS · Comments RSS
Powered by WordPress · Powered by Medical Labs