Microscopic Morphologic Features of the Yeast Forms of Various Dimorphic Fungi
The yeast form of Blastomyces dermatitidis is a large, 10-15 µm in diameter, thick-walled yeast cell that characteristically produces a single bud attached by a broad base.
Coccidioides ...
Microscopic Morphologic Features of the Mold Forms of Various Dimorphic Fungi
The spiked (echinulate) macroconidia seen in Image below is characteristic of the mold form of Histoplasma capsulatum.
The mold form of Coccidioides immitis (Image below) is characterized ...
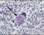
Spherule with endospores of Coccidioides
Endospores within a spherule in infected lung parenchema.
Initial infection usually resolves spontaneously, but when immunity is compromised, dissemination to almost any organ can ...
