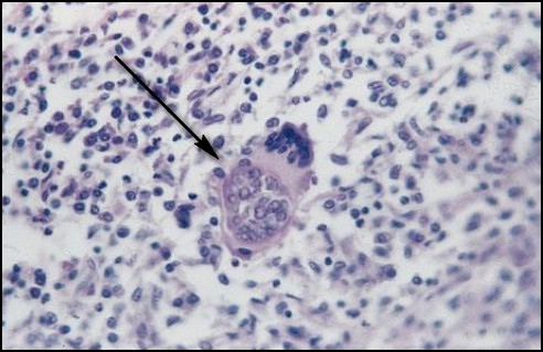
Spherule with endospores of Coccidioides

  • Endospores within a spherule in infected lung parenchema.
  • Initial infection usually resolves spontaneously, but when immunity is compromised, dissemination to almost any organ can occur.
  • Endemic in the southwestern United States.
Spherule with endospores of Coccidioides

Spherule with endospores of Coccidioides

Coccidioides immitis

Coccidioides immitis

Share This Post

Related Articles

Leave a Reply

You must be Logged in to post comment.

© 2026 Medical Laboratories. All rights reserved. Site Admin · Entries RSS · Comments RSS
Powered by WordPress · Powered by Medical Labs