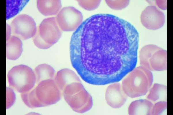
Plasmacytoid lymphocyte

  • Plasmacytoid lymphocyte showing large size, deep basophilic blue cytoplasm, coarse reticular chromatin and 2 prominent nucleoli
  • Seen in Viral reaction
Plasmacytoid lymphocyte

Plasmacytoid lymphocyte


 

Reference:
http://www.bloodline.net/


Medical Laboratory Doctor

Share This Post

Related Articles

Leave a Reply

You must be Logged in to post comment.

© 2026 Medical Laboratories. All rights reserved. Site Admin · Entries RSS · Comments RSS
Powered by WordPress · Powered by Medical Labs