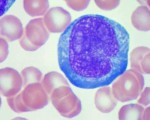
Plasmacytoid lymphocyte
Plasmacytoid lymphocyte showing large size, deep basophilic blue cytoplasm, coarse reticular chromatin and 2 prominent nucleoli
Seen in Viral reaction
Reference:
http://www.bloodline.net/
Lymphocytes Variation
Lymphocyte:
A: Normal small, mature lymphocyte.
B: Small “plasmacytoid” lymphocyte: this cell has increased amounts of darker blue cytoplasm than normal.
C: Another variant ...
Differentiating Monocytes from Large Lymphocytes
Top left frame: Monocyte with an irregular outline, gray cytoplasm containing a few azurophilic granules and vacuoles, and a nucleus with an open or lacy chromatin distribution.
Lower ...
